Allarme Globale: Oltre il COVID, la Minaccia Silente dei Patogeni Zoonotici e il Caso Nipah
La comunità scientifica internazionale nutre preoccupazioni che si estendono ben oltre il COVID-19 e le sue mutevoli varianti. Negli ultimi decenni, il mondo ha assistito a significative insorgenze di malattie virali emergenti, tra cui quelle causate dai virus Hendra, Nipah, Marburg ed Ebola, la Sindrome Respiratoria Acuta Grave (SARS) e la Sindrome Respiratoria Mediorientale (MERS), oltre all’attuale pandemia di COVID-19. Un elemento costante che lega tutti questi focolai è la sospetta trasmissione zoonotica di virus, prevalentemente veicolati dai pipistrelli.
I chirotteri, gli unici mammiferi capaci di volare, si distinguono per peculiarità biologiche uniche. Tra queste, spiccano una longevità sorprendentemente elevata in rapporto alla loro taglia corporea, una ridotta incidenza di tumori e una straordinaria capacità di ospitare una vasta gamma di virus senza manifestare sintomi clinici della malattia. L’apparizione recente del nuovo coronavirus (SARS-CoV-2) ha innescato una pandemia, riconosciuta come la più grave crisi di malattie infettive degli ultimi decenni.
Tuttavia, il panorama delle minacce alla salute globale include anche altri agenti infettivi. Virus come l’influenza e patogeni meno conosciuti ma altrettanto pericolosi, quali il virus Nipah o i poxvirus, destano seria inquietudine per la loro elevata capacità di attacco e il potenziale di diffusione planetaria. Parallelamente, la crescente diffusione di batteri resistenti agli antibiotici, come il *Mycobacterium tuberculosis*, rappresenta già una sfida sanitaria critica in numerosi paesi e si prevede un ulteriore aggravamento nel prossimo futuro. Non meno importanti sono gli agenti di bioterrorismo veicolati per via aerea, noti per i loro elevati tassi di morbilità e mortalità, che richiedono un’attenta vigilanza nell’ambito del monitoraggio internazionale.
**Perché il Virus Nipah Genera Particolare Allarme**
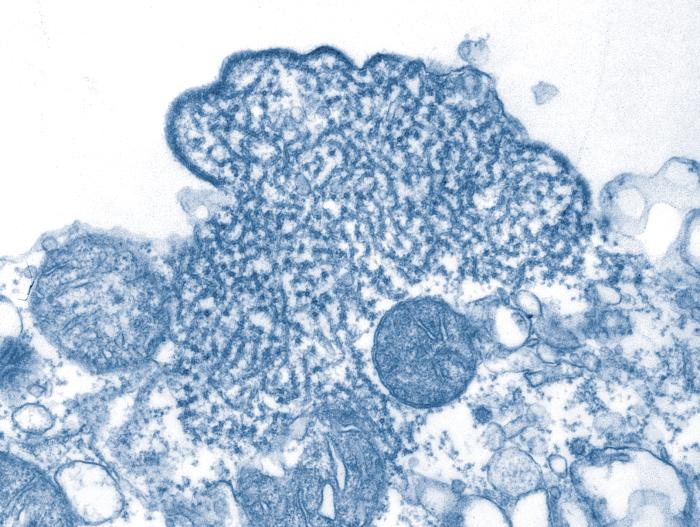
Il virus Nipah è stato inserito dall’Organizzazione Mondiale della Sanità (OMS) nell’elenco delle patologie prioritarie, quelle che presentano il più alto rischio di causare epidemie e gravi conseguenze per la salute pubblica. Si tratta di un’infezione virale di origine animale, identificata per la prima volta nel 1999. Il primo focolaio si verificò in Malesia, stabilendo così la sua origine nella regione asiatica. Il nome “Nipah” deriva proprio dal villaggio malese dove è stato isolato inizialmente. Nonostante sia un agente patogeno conosciuto da tempo, ad oggi non esiste un vaccino specifico per combatterlo. La sua pericolosità è accentuata da un tasso di mortalità estremamente elevato, che, in base alle informazioni disponibili, si aggira tra il 40% e il 70% dei soggetti contagiati.
